내 치아는 왜 아플까. 

꼭 그 치료 방법뿐일까.

과잉진료는 아닐까

...

이해하기 어려워 더 걱정되셨죠




불안은 줄이고, 믿음은 더합니다.


공감과 설명, 책임으로 끝까지 함께하는

‘나의 주치의’


강북감동치과

만족, 그 이상의 감동을 전하는

강북감동치과 의료진 소개

정의준 대표원장


보건복지부 인증 통합치의학과 전문의

보건복지부 소속 전국민구강건강조사원


카이스트(KAIST) 우등 졸업

경희대학교 치의학전문대학원 치의학 석사


대한 통합치과 학회(KAGD) 정회원

대한 구강악안면 임플란트 학회(KAOMI) 정회원

대한 치과보존 학회(KAED) 정회원


오스템 임플란트 임상자문위원

덴티스 임플란트 임상자문위원



원칙을 지키는 진료

강북감동치과의 
바른 약속

1. 꼭 필요한 진료만을

모든 충치가 치료가 필요한 것이 아닙니다. 치료가 급한 치아도 있지만, 꾸준한 관리로 유지할 수 있는 치아도 많습니다. 치료의 우선순위를 정하고, 환자분에게 장기적인 관점에서 꼭 필요한 치료를 우선적으로 진행합니다.

2. 알기 쉽게 설명하는

환자분들은 자신의 치아 상태를 정확하게 알 권리가 있습니다. 내원하시는 모든 분의 입안 상태를 DSLR 카메라로 찍고, 치과의사가 직접 치아 상태와 필요한 진료를 알기 쉽게 설명해 드리고 있습니다. 치료 후에도 사진을 촬영하여 결과를 '투명하게' 보여드립니다.

3. 끝까지 치아를 포기하지 않는 

환자분 본인의 치아만큼 좋은 것은 없습니다. 소중한 치아 살리기가 최우선이며, 꼭 필요한 시점에 필요한 치료만을 권합니다. 무조건적인 발치와 임플란트, 뼈이식은 권유드리지 않습니다.

4. 마취에 정성을

통증을 다루는 치과인 만큼, 마취 과정이 중요합니다. 마취 시 통증을 줄이는 데 정성을 다하는 것이 강북감동치과 의료진의 기본 철칙입니다. 마취 시의 통증은 치과의사의 기술과 정성에 따라 달라집니다.

5. 안전하고 검증된 재료만을

오랫동안 걱정 없이 편안하게 사용하실 수 있도록, 일체의 타협 없이, 안전하고 검증된 재료만을 환자분들에게 제공하겠습니다. 모든 재료는 저의 가족의 치료 시에 사용하는 재료들과 100% 동일합니다.

튼튼한 치아, 빛나는 미소를 위한

강북감동치과의 대표 진료


강북감동치과는 항상 더 나은 치료를 위해 연구하고 노력합니다.

자연치아를 살리는 것을 목표로, 아래와 같은 진료를 하고 있습니다.


원칙을 지키는 진료

강북감동치과의 바른 약속

튼튼한 치아, 빛나는 미소를 위한

강북감동치과의 대표 진료


강북감동치과는 항상 더 나은 치료를 위해 연구하고 노력합니다.  자연치아를 살리는 것을 목표로, 아래와 같은 진료를 하고 있습니다.


강북감동치과의 대표 진료 #1

레진 빌드업


충치나 파절 등으로 손상된 치아를 원래 해부학적 형태대로 정교하게 치과의사가 직접 회복하는 치료 방법으로, 본 뜨는 과정 없이 당일에 치료가 완료됩니다.


강북감동치과의 대표 진료 #2

고난이도 임플란트


보건복지부 인증 전문의 대표원장 책임진료

임플란트를 할 수 있는 것과 잘하는 것은 다릅니다.

임플란트 재수술, 재보철도 문제 없습니다.


강북감동치과의 대표 진료 #3

매복 사랑니 발치


사랑니로 인해서 불편감이 있으셨나요?
모든 사랑니 발치를 대학병원에서 해야하는 것은 아닙니다. 강북감동치과는 사랑니 발치를 의뢰받는 치과입니다.

튼튼한 치아, 빛나는 미소로 감동을

강북감동치과 치료 과목


간단한 진료도 마다하지 않고, 최선을 다해 진료하겠습니다.

항상 연구하고 노력하는 강북감동치과입니다.

나와 가까운 곳에서 대학병원 수준의 진료를

강북감동치과 치료 장비


수준 높은 진료를 위해 안전하고, 검증된 장비만을 사용하여

대학병원 수준의 진료를 경험하실 수 있습니다. 

환자분들의 안전을 위해 최고급 장비만을 사용하고 있습니다.


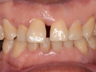
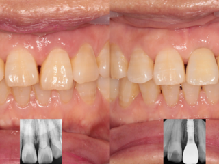
정의준 대표원장이 직접 작성하는

사진으로 보는
강북감동치과 이야기

소중한 내 치아를 어떻게 치료하는지 궁금하셨나요?
실력에 자신 있는 강북감동치과이기에,
치료 전후 과정을 투명하게 보여드리고 있습니다.


치과 치료가 궁금하셨다면, 

강북감동치과 대표원장이 직접 작성하는
감동치과 이야기를 경험해보세요.

감동치과 이야기


 진료 시간 ◻

월·화·목·금오전 9:30 - 오후 8:00
수요일오후 2:00 - 오후 8:00
평일 점심시간오후 1:00 - 오후 2:00
토요일
오전 9:30 - 오후 4:00

점심시간 오후 1시 - 오후 2시

일요일·공휴일 - 진료 휴무



(이미지 클릭 시 네이버 지도로 연결됩니다.)


서울시 도봉구 도봉로 477 3층

지하철 4호선 쌍문역 3번 출구 
이영수의원 건물 3층



mobile background

진료 시간 안내


   월·화·목·금    오전 9:30  - 오후 8:00     

      수  요  일     오후 2:00  - 오후 8:00      

 평일  점심시간     오후 1:00  - 오후 2:00        

        토  요  일     오전 9:30 - 오후 4:00        



일요일·공휴일· 대체휴일 - 진료 휴무


전화 문의 02)6080-2828