안녕하세요.
타 병원 임플란트의 불편감도 해소해드리기 위해 노력하는
강북감동치과 치과의사 정의준입니다.
다른 치과에서 하셨던 임플란트가,
아쉽게도 탈이 나서 임플란트 제거가 필요하셨던 케이스입니다.
오른쪽 아래 임플란트가 꽤 오래전부터 염증이 있는 것 같고 통증이 있으며,
양치할 때도 칫솔이 닿기만 해도 불편하다고 하셨답니다.

임플란트 주위염이 발생한 우측 아래 연결된 임플란트
(치과 X-ray 사진은 보통 좌우가 반대로 되어 있습니다.)
아쉽지만 기존 임플란트를 살려서 쓰는 것은 문제가 있다고 판단하여,
임플란트 제거 후에 다시 식립하는 것으로 치료계획을 설명드리고, 치료를 진행하였습니다.
현재 상태에서 임플란트 제거와 동시에 재식립하는 것은 무리라는 판단이 들어,
충분히 기다렸다가 염증도 가라앉고 잇몸이 어느정도 회복이 이루어지고 나면 수술하는 것으로 결정하였습니다.
먼저 임플란트를 제거하는 수술을 진행하였습니다.


좌측: 상부 보철을 제거한 직후의 모습 / 우측: 제거한 임플란트 픽스처
기존 타병원 임플란트는 상부 보철(크라운)을 제거하니, 이미 그 주변으로 염증이 심하게 올라오는 상태였습니다.
이후 임플란트 기둥(어버트먼트)을 제거한 뒤, 임플란트 뿌리(픽스처)도 제거하였는데요,
보통 뼈에 잘 융합된 임플란트의 경우, 이것을 제거하는 것이 상당히 어렵습니다.
다만 이 경우, 심한 염증으로 인해 임플란트의 고정력이 약하였고, 작은 힘에도 임플란트가 제거되었습니다.

안전하게 임플란트가 제거된 모습
임플란트 제거 이후에는 다른 부위들의 치료들도 희망하셔서 반대쪽 치료 또한 진행하였습니다.
약 2개월 정도 지난 후에 잇몸이 깔끔하게 아문 상태를 확인하고,
임플란트 식립을 진행하였습니다.
(이 기간에 뼈가 완전히 재생되는 것을 기대하기 어렵습니다.)


뼈이식을 동반하여 새로운 임플란트 식립이 깔끔하게 잘 이루어 졌고,
수술 후 2개월 정도 회복 기간을 가진 뒤에, 보철 과정을 진행하였습니다.
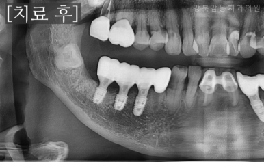
아래는 치료가 완료된 모습입니다.




사실, 이 환자분은 여러 전신질환이 있으셨던 70대 후반 여성분이셨습니다.
임플란트 재수술이란 쉽지 않은 결정을 해주시고,
저희 치과의 의료진들을 믿고 치료 과정에 함께해주셔서,
좋은 결과로 보답을 할 수 있었던 케이스 입니다.
여러 연구 결과에 의하면 임플란트의 평균 생존률은 10년 정도라고 합니다.
임플란트도 여러가지 문제로 치아처럼 재치료가 필요할 수 있습니다.
임플란트의 재치료는 어렵습니다.
이미 한번 실패한 임플란드 주위로는 뼈도 부족하고,
잇몸도 부족한 경우가 많습니다.
다만, 좋은 치료 계획이 있다면 재치료가 불가능한 것만은 아닙니다.
생각보다 간단하게 임플란트로 인한 불편감을 해결하시는 경우도 많습니다.
임플란트로 인한 불편감이 있으시다면 꼭
주변 치과에서 검진을 받아보시는 것을 추천드립니다!
의료법 제23조 및 제56조 관련
본 포스팅의 모든 임상 사진은 환자 동의하에 게재하였습니다.
진료 내용: 지르코니아 브릿지, 근관치료 등
발생할 수 있는 부작용: 보철물 탈락, 치근단 병소 등
치료 시작: 2023. 12
치료 종료: 2024. 5
안녕하세요.
타 병원 임플란트의 불편감도 해소해드리기 위해 노력하는
강북감동치과 치과의사 정의준입니다.
다른 치과에서 하셨던 임플란트가,
아쉽게도 탈이 나서 임플란트 제거가 필요하셨던 케이스입니다.
오른쪽 아래 임플란트가 꽤 오래전부터 염증이 있는 것 같고 통증이 있으며,
양치할 때도 칫솔이 닿기만 해도 불편하다고 하셨답니다.
임플란트 주위염이 발생한 우측 아래 연결된 임플란트
(치과 X-ray 사진은 보통 좌우가 반대로 되어 있습니다.)
아쉽지만 기존 임플란트를 살려서 쓰는 것은 문제가 있다고 판단하여,
임플란트 제거 후에 다시 식립하는 것으로 치료계획을 설명드리고, 치료를 진행하였습니다.
현재 상태에서 임플란트 제거와 동시에 재식립하는 것은 무리라는 판단이 들어,
충분히 기다렸다가 염증도 가라앉고 잇몸이 어느정도 회복이 이루어지고 나면 수술하는 것으로 결정하였습니다.
먼저 임플란트를 제거하는 수술을 진행하였습니다.
좌측: 상부 보철을 제거한 직후의 모습 / 우측: 제거한 임플란트 픽스처
기존 타병원 임플란트는 상부 보철(크라운)을 제거하니, 이미 그 주변으로 염증이 심하게 올라오는 상태였습니다.
이후 임플란트 기둥(어버트먼트)을 제거한 뒤, 임플란트 뿌리(픽스처)도 제거하였는데요,
보통 뼈에 잘 융합된 임플란트의 경우, 이것을 제거하는 것이 상당히 어렵습니다.
다만 이 경우, 심한 염증으로 인해 임플란트의 고정력이 약하였고, 작은 힘에도 임플란트가 제거되었습니다.
안전하게 임플란트가 제거된 모습
임플란트 제거 이후에는 다른 부위들의 치료들도 희망하셔서 반대쪽 치료 또한 진행하였습니다.
약 2개월 정도 지난 후에 잇몸이 깔끔하게 아문 상태를 확인하고,
임플란트 식립을 진행하였습니다.
(이 기간에 뼈가 완전히 재생되는 것을 기대하기 어렵습니다.)
뼈이식을 동반하여 새로운 임플란트 식립이 깔끔하게 잘 이루어 졌고,
수술 후 2개월 정도 회복 기간을 가진 뒤에, 보철 과정을 진행하였습니다.
아래는 치료가 완료된 모습입니다.
사실, 이 환자분은 여러 전신질환이 있으셨던 70대 후반 여성분이셨습니다.
임플란트 재수술이란 쉽지 않은 결정을 해주시고,
저희 치과의 의료진들을 믿고 치료 과정에 함께해주셔서,
좋은 결과로 보답을 할 수 있었던 케이스 입니다.
여러 연구 결과에 의하면 임플란트의 평균 생존률은 10년 정도라고 합니다.
임플란트도 여러가지 문제로 치아처럼 재치료가 필요할 수 있습니다.
임플란트의 재치료는 어렵습니다.
이미 한번 실패한 임플란드 주위로는 뼈도 부족하고,
잇몸도 부족한 경우가 많습니다.
다만, 좋은 치료 계획이 있다면 재치료가 불가능한 것만은 아닙니다.
생각보다 간단하게 임플란트로 인한 불편감을 해결하시는 경우도 많습니다.
임플란트로 인한 불편감이 있으시다면 꼭
주변 치과에서 검진을 받아보시는 것을 추천드립니다!
의료법 제23조 및 제56조 관련
본 포스팅의 모든 임상 사진은 환자 동의하에 게재하였습니다.
진료 내용: 지르코니아 브릿지, 근관치료 등
발생할 수 있는 부작용: 보철물 탈락, 치근단 병소 등
치료 시작: 2023. 12
치료 종료: 2024. 5