안녕하세요. 강북감동치과 대표원장 정의준입니다.
오늘은 저희 치과에서 임플란트 치료를 받으셨던 지인분의 소개로
내원해주신 환자분의 이야기를 들려드릴까 합니다.
치과는 아무래도 무서운 곳이다 보니, 믿을 수 있는 분의 소개로 오시는 경우가 참 많은데요.
그 믿음에 보답하기 위해 더욱 꼼꼼하게 봐드렸습니다.

"앞니가 부러져서 임플란트를 해야 한다는데..."
환자분께서는 다른 치과에서 앞니 발치 후 임플란트가 필요하다는 진단을 받고 오셨습니다.
앞니는 우리가 말하거나 웃을 때 가장 먼저 보이는 부분이죠.
그래서 기능도 중요하지만, 무엇보다 '심미성'이 정말 중요한 치료입니다.
임플란트 수술 기간 동안 앞니가 없이 지내야 한다면 사회생활에 큰 지장이 생길 수밖에 없으니까요.
환자분의 걱정을 덜어드리기 위해, 수술 당일 임시치아까지 연결하는 계획으로 치료를 진행했습니다.

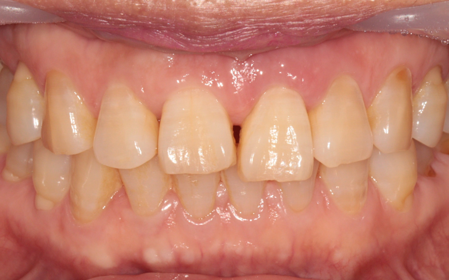
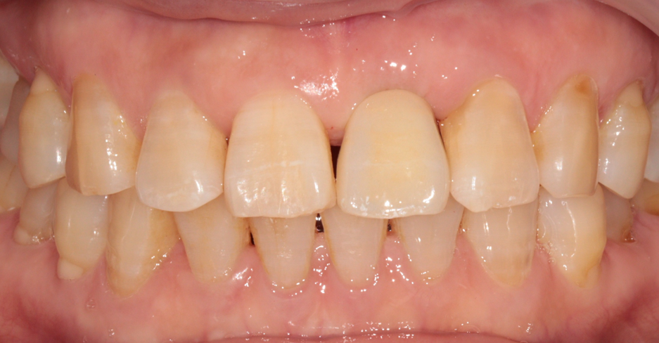
처음 내원하셨을 때의 상태입니다. 앞니 파절로 인해 치료가 시급한 상황이었습니다.
1. 수술 전, 미리 준비하는 임시치아
앞니 수술의 핵심은 *'치아가 없는 기간을 없애는 것'입니다.
수술 당일 바로 치아 머리 모양을 만들어드리기 위해, 수술 전에 미리 구강 스캔을 진행했습니다.
이 데이터를 바탕으로 수술 직후에 들어갈 임시치아를 미리 디자인하고 제작해둡니다.

2. 임플란트 수술 진행
계획된 위치에 정확하게 임플란트 뿌리(픽스쳐)를 식립했습니다.
앞니 잇몸뼈는 얇기 때문에 뼈의 양과 형태를 고려하여 아주 신중하게 접근해야 합니다.
사전에 계획한 대로 임플란트가 아주 잘 위치한 모습입니다.
3. 수술 당일, 임시치아 부착
수술이 끝나자마자 미리 준비해둔 임시치아를 연결해드렸습니다.
이때 중요한 점은 수술한 임플란트에 바로 힘이 가해지면 안 된다는 것입니다.
그래서 임플란트 자체에 힘을 주는 방식이 아니라, 양옆의 튼튼한 인접 치아에 임시치아를 고정하는 방식으로 진행했습니다.
덕분에 수술 부위는 보호하면서도, 겉으로 보기에는 감쪽같이 치아가 있는 상태로 귀가하실 수 있었습니다.
환자분께서도 거울을 보시고 정말 안심하셨던 기억이 납니다.
4. 3개월의 기다림
임플란트와 잇몸뼈가 단단하게 붙기를 기다리는 시간입니다.
보통 3개월 정도 소요되는데, 이 기간 동안에도 임시치아가 있어서 일상생활에는 전혀 불편함이 없으셨습니다.

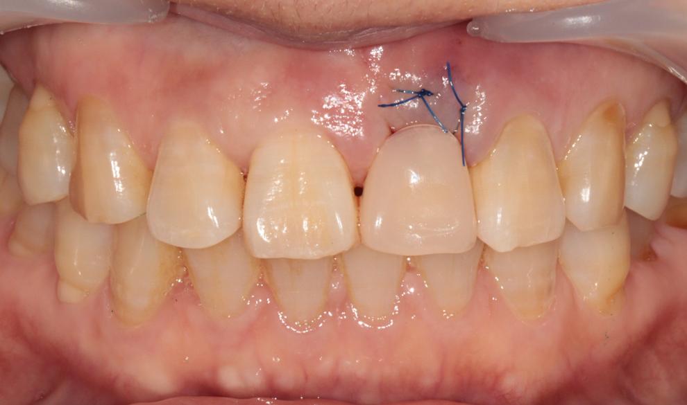
5. 치료 완료
3개월 뒤, 잇몸과 임플란트가 완전히 안정화된 것을 확인하고 최종 보철물을 올려드렸습니다.
주변 자연 치아와 색상, 모양이 조화롭게 어우러지도록 세심하게 제작했습니다.
환자분께서 "어떤 게 임플란트인지 모를 정도로 자연스럽다"며 아주 만족해하셨습니다.
소개해주신 지인분께도 감사하다는 인사를 전해주셨네요.

앞니 임플란트, 기능은 물론 심미적인 부분까지 놓치지 않아야 합니다.
갑작스러운 사고나 파절로 앞니 치료가 고민이시라면, 편하게 상담 받아보시기 바랍니다.
자연스럽고 튼튼한 미소를 되찾아드리겠습니다. 🦷
안녕하세요. 강북감동치과 대표원장 정의준입니다.
오늘은 저희 치과에서 임플란트 치료를 받으셨던 지인분의 소개로
내원해주신 환자분의 이야기를 들려드릴까 합니다.
치과는 아무래도 무서운 곳이다 보니, 믿을 수 있는 분의 소개로 오시는 경우가 참 많은데요.
그 믿음에 보답하기 위해 더욱 꼼꼼하게 봐드렸습니다.
"앞니가 부러져서 임플란트를 해야 한다는데..."
환자분께서는 다른 치과에서 앞니 발치 후 임플란트가 필요하다는 진단을 받고 오셨습니다.
앞니는 우리가 말하거나 웃을 때 가장 먼저 보이는 부분이죠.
그래서 기능도 중요하지만, 무엇보다 '심미성'이 정말 중요한 치료입니다.
임플란트 수술 기간 동안 앞니가 없이 지내야 한다면 사회생활에 큰 지장이 생길 수밖에 없으니까요.
환자분의 걱정을 덜어드리기 위해, 수술 당일 임시치아까지 연결하는 계획으로 치료를 진행했습니다.
처음 내원하셨을 때의 상태입니다. 앞니 파절로 인해 치료가 시급한 상황이었습니다.
1. 수술 전, 미리 준비하는 임시치아
앞니 수술의 핵심은 *'치아가 없는 기간을 없애는 것'입니다.
수술 당일 바로 치아 머리 모양을 만들어드리기 위해, 수술 전에 미리 구강 스캔을 진행했습니다.
이 데이터를 바탕으로 수술 직후에 들어갈 임시치아를 미리 디자인하고 제작해둡니다.
2. 임플란트 수술 진행
계획된 위치에 정확하게 임플란트 뿌리(픽스쳐)를 식립했습니다.
앞니 잇몸뼈는 얇기 때문에 뼈의 양과 형태를 고려하여 아주 신중하게 접근해야 합니다.
사전에 계획한 대로 임플란트가 아주 잘 위치한 모습입니다.
3. 수술 당일, 임시치아 부착
수술이 끝나자마자 미리 준비해둔 임시치아를 연결해드렸습니다.
이때 중요한 점은 수술한 임플란트에 바로 힘이 가해지면 안 된다는 것입니다.
그래서 임플란트 자체에 힘을 주는 방식이 아니라, 양옆의 튼튼한 인접 치아에 임시치아를 고정하는 방식으로 진행했습니다.
덕분에 수술 부위는 보호하면서도, 겉으로 보기에는 감쪽같이 치아가 있는 상태로 귀가하실 수 있었습니다.
환자분께서도 거울을 보시고 정말 안심하셨던 기억이 납니다.
4. 3개월의 기다림
임플란트와 잇몸뼈가 단단하게 붙기를 기다리는 시간입니다.
보통 3개월 정도 소요되는데, 이 기간 동안에도 임시치아가 있어서 일상생활에는 전혀 불편함이 없으셨습니다.
5. 치료 완료
3개월 뒤, 잇몸과 임플란트가 완전히 안정화된 것을 확인하고 최종 보철물을 올려드렸습니다.
주변 자연 치아와 색상, 모양이 조화롭게 어우러지도록 세심하게 제작했습니다.
환자분께서 "어떤 게 임플란트인지 모를 정도로 자연스럽다"며 아주 만족해하셨습니다.
소개해주신 지인분께도 감사하다는 인사를 전해주셨네요.
앞니 임플란트, 기능은 물론 심미적인 부분까지 놓치지 않아야 합니다.
갑작스러운 사고나 파절로 앞니 치료가 고민이시라면, 편하게 상담 받아보시기 바랍니다.
자연스럽고 튼튼한 미소를 되찾아드리겠습니다. 🦷