안녕하세요.
쌍문역 강북감동치과 원장 정의준입니다.
오늘의 치료 케이스는 돌출도 심하고, 염증이 심했던 앞니를
임플란트로 치료했던 사례를 보여드리려 합니다.
(+발치/임플란트 식립 당일 임시치아도 진행해 드린 케이스입니다.)
아주 오래전부터 위 앞니가 벌어지고, 튀어나온 것이 컴플렉스인데,
이번 기회에 치료를 꼭 하고 싶으시다며,
저희 치과 아래의 이영수의원 소개로 내원하시게 되셨습니다.


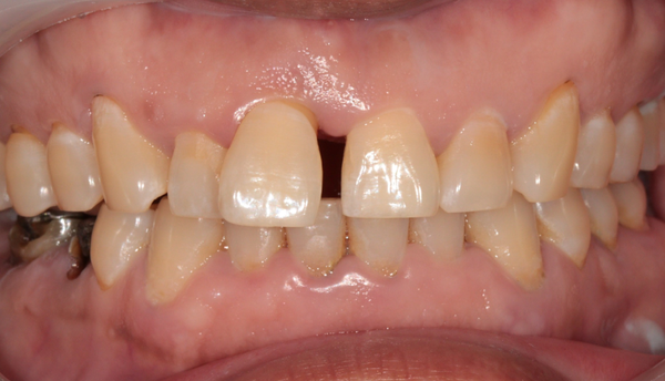
처음 내원하셨을 때의 구강 내 사진
저는 항상 모든 환자분에게 이렇게
고해상도의 DSLR 카메라를 가지고 입안의 사진 촬영을 먼저 하여
환자분께 보여드리며 치료 계획을 설명드립니다.
치과의사로서 전문적인 지식을 전해드리는 동시에
환자분의 요구사항이 무엇인지를 경청하고,
치료 계획에 충분히 반영을 하려고 노력하고 있습니다.
다시 케이스도 돌아와서,
이 환자분께서는 위의 앞니가 많이 돌출되어 있었고
심지어 많이 흔들리는 상태였습니다.

첫 내원 당시의 CT를 기반으로 재구성한 3차원 사진
위의 사진에서 보실 수 있듯이,
가운데 튀어나온 앞니의 잇몸뼈가 많이 상해있었기 때문에,
치아는 교정적인 접근보다는
발치를 하는 것을 추천드렸습니다.
(* 환자분께서도 해당 부위가 여러 번 불편하셨었다고,
치아를 살리는 것은 불가능하다고 이미 생각하고 계셨습니다.)
해당 부위의 치료 계획으로는 임플란트를 권해드렸는데요.
여기서 잠깐! 간혹 환자분들께서
"앞니 임플란트는 안 예쁘다고 별로 권하지 않던데...
브릿지가 더 좋다고 하던데요?"
이렇게 말씀하시는 경우가 있는데요.
어느 정도는 맞고 어느 정도는 오해가 있는 부분입니다.
자세한 이유에 관해서는 별도의 포스팅으로 설명드릴 텐데요.
저는 앞니 치료에 있어서 브릿지가 임플란트보다
무조건 더 심미적이라고 생각하지는 않습니다.
환자분의 치아 상태에 따라서,
브릿지를 해야 할 케이스가 있고, 임플란트를 해야 할 케이스가 있다고 생각합니다.

(다른 환자분 케이스)
타치과에서 치료받으셨던 기존 브릿지의 치아가 많이 나빠져서
발치 후 임플란트를 통해서 더 심미적인 결과를 만들 수도 있습니다.

첫 내원 당시의 CT를 기반으로 재구성한 3차원 사진
다시 환자분의 케이스로 돌아와서,
해당 환자분께는 발치 후 임플란트를 권해드렸습니다.
브릿지를 하기에는, 옆의 치아들 상태가 너무 건전하여
해당 치아를 건드리지 않고 이 부위만 해결해드리고자 하였습니다.
(항상 치아 모양을 다듬는 것은 신중해야 하니까요.)
물론, 치아가 많이 흔들릴 정도로 잇몸뼈가 줄어든 상태셨지만,
임플란트가 위치할 안쪽 잇몸뼈의 상태는 나쁘지 않았기 때문에
최종적으로
발치+임플란트+수술 당일 즉시 임시치아
를 치료 계획으로 설명드렸고,
환자분께서도 동의해 주셔서 치료를 시작하였습니다.
앞니 임플란트에 있어서 중요한 점은
바로 임플란트가 들어가는 위치입니다.
심미적으로 보철물을 제작이 가능하도록 하는 위치에
임플란트가 있어야 최종 결과물도 심미적입니다.
이 과정이 쉽지 않기 때문에,
수술 전 준비 단계가 매우 중요합니다.
미리 설계한 위치에 임플란트가 정확하게 심어질 수 있도록 하는
"서지컬 가이드"를 미리 준비하였습니다.

다른 환자분의 전악 임플란트 수술 가이드 디자인
이 준비단계가 없어도 임플란트 수술이 불가능한 것은 아니지만
위의 사진처럼 미리 보철물을 디자인해 보고, 그에 맞는 위치에 임플란트를
상당히 정확하게 위치시킬 수 있기 때문입니다.

본 케이스 환자분의 서지컬 가이드 디자인
저는 서지컬 가이드를 100% 제가 직접 설계하고 디자인합니다.
(원장실의 컴퓨터로 직접 설계하고, 출력만 오스템 본사에 의뢰합니다.)


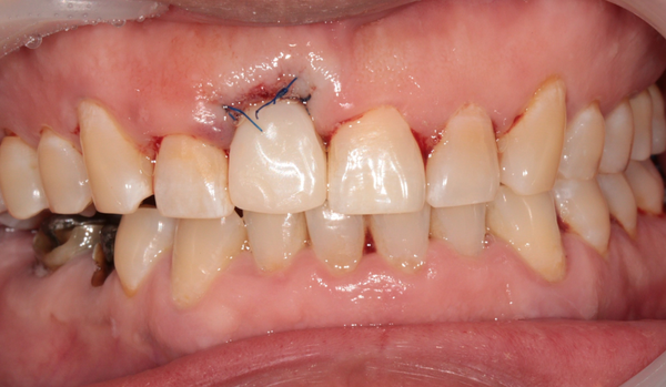
수술 당일 임시치아 연결 후 사진
준비된 가이드를 토대로, 정확한 위치에 임플란트가 식립이 되었고,
수술 당일에 임시치아를 제가 직접 만들어
"임플란트"에 장착해 드렸습니다.
다만, 아직 안정된 임플란트의 상태는 아니기 때문에
최대한 조심히 사용하셔야 되고,
힘이 가해지는 것을 피하기 위해서 살짝 덜 닿게 만들어 놓습니다.


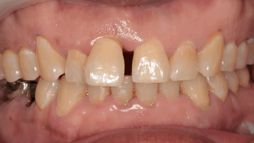
수술 전 VS 수술 당일
환자분께서는 벌어진 앞니가 환자분의 평생의 컴플렉스였는데,
수술 당일 바로 가지런한 치아가 생겨서 너무 만족하셨습니다.
이후, 임플란트와 뼈에 잘 안착되기를 2개월을 기다렸고,
구강 스캐너를 이용하여 스캔 인상 채득 후 보철물 제작을 완료하였습니다.






환자분께서 치료 과정에 많이 만족해 주셔서,
앞니를 포함한 다른 치아들도 치료를 받으셨습니다.
(기존에 어금니로 식사도 어렵다고 하셨는데,
어금니도 임플란트로 잘 회복해 드렸습니다.)
치과에 오실 때마다 밝은 얼굴로
치료에 응해주셔서,
저희 치과 의료진들도 항상 보람을 느끼게 해주셔서
환자분께 감사하는 케이스였습니다.

* 모든 환자 증례 사진은 의료법 제23조, 제56조에 의거하여 환자분의 동의하에 업로드가 진행되었습니다.
의료법 제23조 및 제56조 관련
본 포스팅의 모든 임상 사진은 환자 동의하에 게재하였습니다.
진료 내용: 발치, 임플란트
발생할 수 있는 부작용: 임플란트 골유착 실패 등
치료 시작: 2024. 4
치료 종료: 2024. 8
안녕하세요.
쌍문역 강북감동치과 원장 정의준입니다.
오늘의 치료 케이스는 돌출도 심하고, 염증이 심했던 앞니를
임플란트로 치료했던 사례를 보여드리려 합니다.
(+발치/임플란트 식립 당일 임시치아도 진행해 드린 케이스입니다.)
아주 오래전부터 위 앞니가 벌어지고, 튀어나온 것이 컴플렉스인데,
이번 기회에 치료를 꼭 하고 싶으시다며,
저희 치과 아래의 이영수의원 소개로 내원하시게 되셨습니다.
처음 내원하셨을 때의 구강 내 사진
저는 항상 모든 환자분에게 이렇게
고해상도의 DSLR 카메라를 가지고 입안의 사진 촬영을 먼저 하여
환자분께 보여드리며 치료 계획을 설명드립니다.
치과의사로서 전문적인 지식을 전해드리는 동시에
환자분의 요구사항이 무엇인지를 경청하고,
치료 계획에 충분히 반영을 하려고 노력하고 있습니다.
다시 케이스도 돌아와서,
이 환자분께서는 위의 앞니가 많이 돌출되어 있었고
심지어 많이 흔들리는 상태였습니다.
첫 내원 당시의 CT를 기반으로 재구성한 3차원 사진
위의 사진에서 보실 수 있듯이,
가운데 튀어나온 앞니의 잇몸뼈가 많이 상해있었기 때문에,
치아는 교정적인 접근보다는
발치를 하는 것을 추천드렸습니다.
(* 환자분께서도 해당 부위가 여러 번 불편하셨었다고,
치아를 살리는 것은 불가능하다고 이미 생각하고 계셨습니다.)
해당 부위의 치료 계획으로는 임플란트를 권해드렸는데요.
여기서 잠깐! 간혹 환자분들께서
"앞니 임플란트는 안 예쁘다고 별로 권하지 않던데...
브릿지가 더 좋다고 하던데요?"
이렇게 말씀하시는 경우가 있는데요.
어느 정도는 맞고 어느 정도는 오해가 있는 부분입니다.
자세한 이유에 관해서는 별도의 포스팅으로 설명드릴 텐데요.
저는 앞니 치료에 있어서 브릿지가 임플란트보다
무조건 더 심미적이라고 생각하지는 않습니다.
환자분의 치아 상태에 따라서,
브릿지를 해야 할 케이스가 있고, 임플란트를 해야 할 케이스가 있다고 생각합니다.
(다른 환자분 케이스)
타치과에서 치료받으셨던 기존 브릿지의 치아가 많이 나빠져서
발치 후 임플란트를 통해서 더 심미적인 결과를 만들 수도 있습니다.
첫 내원 당시의 CT를 기반으로 재구성한 3차원 사진
다시 환자분의 케이스로 돌아와서,
해당 환자분께는 발치 후 임플란트를 권해드렸습니다.
브릿지를 하기에는, 옆의 치아들 상태가 너무 건전하여
해당 치아를 건드리지 않고 이 부위만 해결해드리고자 하였습니다.
(항상 치아 모양을 다듬는 것은 신중해야 하니까요.)
물론, 치아가 많이 흔들릴 정도로 잇몸뼈가 줄어든 상태셨지만,
임플란트가 위치할 안쪽 잇몸뼈의 상태는 나쁘지 않았기 때문에
최종적으로
발치+임플란트+수술 당일 즉시 임시치아
를 치료 계획으로 설명드렸고,
환자분께서도 동의해 주셔서 치료를 시작하였습니다.
앞니 임플란트에 있어서 중요한 점은
바로 임플란트가 들어가는 위치입니다.
심미적으로 보철물을 제작이 가능하도록 하는 위치에
임플란트가 있어야 최종 결과물도 심미적입니다.
이 과정이 쉽지 않기 때문에,
수술 전 준비 단계가 매우 중요합니다.
미리 설계한 위치에 임플란트가 정확하게 심어질 수 있도록 하는
"서지컬 가이드"를 미리 준비하였습니다.
다른 환자분의 전악 임플란트 수술 가이드 디자인
이 준비단계가 없어도 임플란트 수술이 불가능한 것은 아니지만
위의 사진처럼 미리 보철물을 디자인해 보고, 그에 맞는 위치에 임플란트를
상당히 정확하게 위치시킬 수 있기 때문입니다.
본 케이스 환자분의 서지컬 가이드 디자인
저는 서지컬 가이드를 100% 제가 직접 설계하고 디자인합니다.
(원장실의 컴퓨터로 직접 설계하고, 출력만 오스템 본사에 의뢰합니다.)
수술 당일 임시치아 연결 후 사진
준비된 가이드를 토대로, 정확한 위치에 임플란트가 식립이 되었고,
수술 당일에 임시치아를 제가 직접 만들어
"임플란트"에 장착해 드렸습니다.
다만, 아직 안정된 임플란트의 상태는 아니기 때문에
최대한 조심히 사용하셔야 되고,
힘이 가해지는 것을 피하기 위해서 살짝 덜 닿게 만들어 놓습니다.
수술 전 VS 수술 당일
환자분께서는 벌어진 앞니가 환자분의 평생의 컴플렉스였는데,
수술 당일 바로 가지런한 치아가 생겨서 너무 만족하셨습니다.
이후, 임플란트와 뼈에 잘 안착되기를 2개월을 기다렸고,
구강 스캐너를 이용하여 스캔 인상 채득 후 보철물 제작을 완료하였습니다.
환자분께서 치료 과정에 많이 만족해 주셔서,
앞니를 포함한 다른 치아들도 치료를 받으셨습니다.
(기존에 어금니로 식사도 어렵다고 하셨는데,
어금니도 임플란트로 잘 회복해 드렸습니다.)
치과에 오실 때마다 밝은 얼굴로
치료에 응해주셔서,
저희 치과 의료진들도 항상 보람을 느끼게 해주셔서
환자분께 감사하는 케이스였습니다.
* 모든 환자 증례 사진은 의료법 제23조, 제56조에 의거하여 환자분의 동의하에 업로드가 진행되었습니다.
의료법 제23조 및 제56조 관련
본 포스팅의 모든 임상 사진은 환자 동의하에 게재하였습니다.
진료 내용: 발치, 임플란트
발생할 수 있는 부작용: 임플란트 골유착 실패 등
치료 시작: 2024. 4
치료 종료: 2024. 8