안녕하세요.
환자분의 눈높이에서 진료하려고 노력하는
강북감동치과 대표원장 정의준입니다.
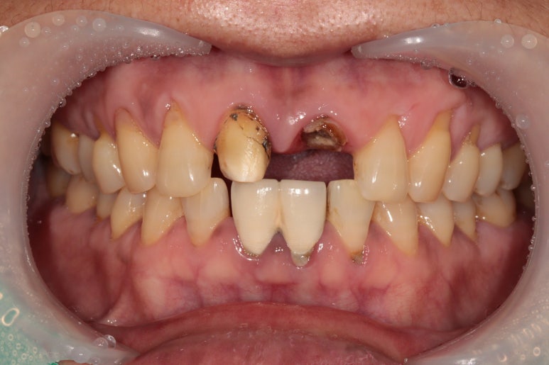
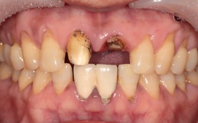
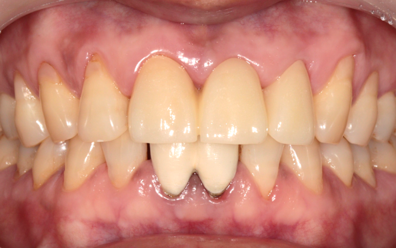
앞니 보철물이 빠져서 내원하시게 되신 환자분의 케이스입니다.
타원에서 치료받으신 보철물을 그동안 잘 사용하고 있었는데,
어제 갑자기 윗니 쪽으로 가벼운 충격이 있었고,
바로 보철물이 빠지셨다고 합니다.

2024. 1 기존의 보철물은 위 앞니 두 개를 연결한 형태였다고 하시네요.
빠진 다음날 저희 치과에서 꾸준히 치료를 받으시는 환자분의 소개로 내원하시게 되었습니다.
남녀노소를 막론하고, 위 앞니는 사람의 인상을 결정짓는 가장 중요한 요소입니다.
이런 앞니를 다치게 되었으니, 걱정이 많으셨을 겁니다.
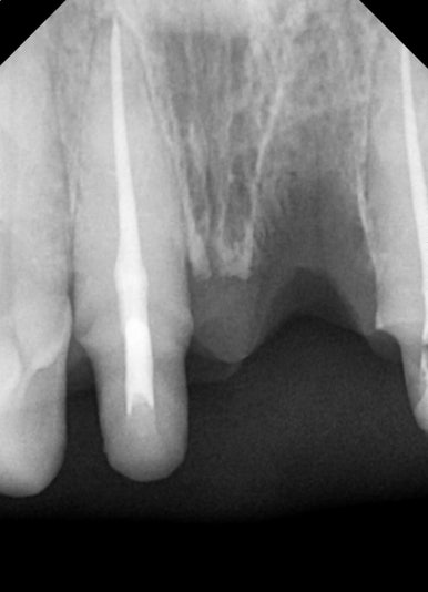
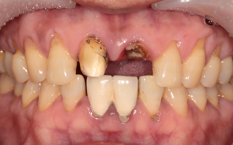
환자분의 현재 상태를 보고 원인을 유추해 보았습니다.
기존에 연결된 앞니 보철물과 치아의 경계부 사이로 2차 충치가 진행이 오랜 기간 지속되었고,
보철물 내부의 치아에 충치가 심해져 약해져 있던 상태에서
작은 충격에 그 보철물이 빠져버리게 된 것입니다.


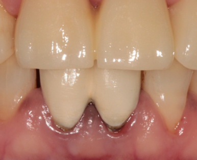
보철물 경계부에 생기는 2차 우식
(좌측: 다른 환자분의 케이스)
(우측: 이번 케이스 환자분의 아래 치아)
어떻게 하면 환자분의 앞니를 가장 자연스럽게 회복할 수 있을까 고민하며,
앞니의 경우 작은 외상이라도 증상이 생길 수 있기에
다른 치아들은 괜찮은지 꼼꼼히 검사를 해보았습니다.
그중 뿌리만 남은 치아의 옆 치아(측절치, #22)도 금이 가있는 것을 발견을 했습니다.


아쉽게도 이 치아에도 금이 가있네요
(맨 우측 사진: 치료 중 X-ray 사진. 치아에 금이 간 것이 선명하게 보입니다.)
정밀 진단을 마친 후의 치료 계획은 다음과 같았습니다.
1. 뿌리만 남은 치아는 발치를 하고,
2. 양옆의 치아는 신경치료를 진행하고,
3. 지르코니아 보철물을 브릿지 형태로 수복한다.
환자분께 이러한 증상이 발생하게 된 배경부터,
치료 계획 및 과정을 꼼꼼하게 설명드리고 치료를 시작하였습니다.
부러진 뿌리 부분은 임플란트도 권해드렸으나.
환자분께서 아무래도 임플란트 수술은 피하고 싶다고 하셔서,
브릿지 형태로 수복하는 것으로 결정되었습니다.




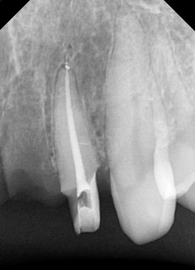
남아 있는 앞니의 신경치료를 안전하게 마무리 한 모습
이후, 뿌리만 남은 치아는 발치를 하였고, 잇몸이 회복되는 동안
양옆의 치아를 신경치료 진행하였습니다.
치아에 금이 가있던 치아는
치아머리 부분의 안정화를 위해 "포스트 Post"라는 과정까지 진행하였습니다.
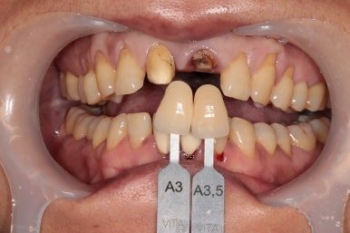
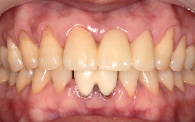
이후 보철 과정을 진행하였고,
다음과 같이 치료가 마무리되었습니다.


환자분께서는 치료 전 보철물보다 훨씬 예쁘다고 만족하셨네요.
좌측 2024. 1 - 우측 2024. 3
앞니 치료는 쉽지 않습니다.
기능과 심미 두 가지를 모두 고려해야 하기 때문입니다.
항상 환자분께서 만족하실 수 있는 결과를 전해드리기 위해서
오늘도, 앞으로도 노력하겠습니다.

의료법 제23조 및 제56조 관련
본 포스팅의 모든 임상 사진은 환자 동의하에 게재하였습니다.
진료 내용: 지르코니아 브릿지, 근관치료 등
발생할 수 있는 부작용: 보철물 탈락, 치근단 병소 등
치료 시작: 2024. 1. 31
치료 종료: 2024. 3. 13
안녕하세요.
환자분의 눈높이에서 진료하려고 노력하는
강북감동치과 대표원장 정의준입니다.
앞니 보철물이 빠져서 내원하시게 되신 환자분의 케이스입니다.
타원에서 치료받으신 보철물을 그동안 잘 사용하고 있었는데,
어제 갑자기 윗니 쪽으로 가벼운 충격이 있었고,
바로 보철물이 빠지셨다고 합니다.
2024. 1 기존의 보철물은 위 앞니 두 개를 연결한 형태였다고 하시네요.
빠진 다음날 저희 치과에서 꾸준히 치료를 받으시는 환자분의 소개로 내원하시게 되었습니다.
남녀노소를 막론하고, 위 앞니는 사람의 인상을 결정짓는 가장 중요한 요소입니다.
이런 앞니를 다치게 되었으니, 걱정이 많으셨을 겁니다.
환자분의 현재 상태를 보고 원인을 유추해 보았습니다.
기존에 연결된 앞니 보철물과 치아의 경계부 사이로 2차 충치가 진행이 오랜 기간 지속되었고,
보철물 내부의 치아에 충치가 심해져 약해져 있던 상태에서
작은 충격에 그 보철물이 빠져버리게 된 것입니다.
보철물 경계부에 생기는 2차 우식
(좌측: 다른 환자분의 케이스)
(우측: 이번 케이스 환자분의 아래 치아)
어떻게 하면 환자분의 앞니를 가장 자연스럽게 회복할 수 있을까 고민하며,
앞니의 경우 작은 외상이라도 증상이 생길 수 있기에
다른 치아들은 괜찮은지 꼼꼼히 검사를 해보았습니다.
그중 뿌리만 남은 치아의 옆 치아(측절치, #22)도 금이 가있는 것을 발견을 했습니다.
아쉽게도 이 치아에도 금이 가있네요
(맨 우측 사진: 치료 중 X-ray 사진. 치아에 금이 간 것이 선명하게 보입니다.)
정밀 진단을 마친 후의 치료 계획은 다음과 같았습니다.
1. 뿌리만 남은 치아는 발치를 하고,
2. 양옆의 치아는 신경치료를 진행하고,
3. 지르코니아 보철물을 브릿지 형태로 수복한다.
환자분께 이러한 증상이 발생하게 된 배경부터,
치료 계획 및 과정을 꼼꼼하게 설명드리고 치료를 시작하였습니다.
부러진 뿌리 부분은 임플란트도 권해드렸으나.
환자분께서 아무래도 임플란트 수술은 피하고 싶다고 하셔서,
브릿지 형태로 수복하는 것으로 결정되었습니다.
남아 있는 앞니의 신경치료를 안전하게 마무리 한 모습
이후, 뿌리만 남은 치아는 발치를 하였고, 잇몸이 회복되는 동안
양옆의 치아를 신경치료 진행하였습니다.
치아에 금이 가있던 치아는
치아머리 부분의 안정화를 위해 "포스트 Post"라는 과정까지 진행하였습니다.
이후 보철 과정을 진행하였고,
다음과 같이 치료가 마무리되었습니다.
환자분께서는 치료 전 보철물보다 훨씬 예쁘다고 만족하셨네요.
좌측 2024. 1 - 우측 2024. 3
앞니 치료는 쉽지 않습니다.
기능과 심미 두 가지를 모두 고려해야 하기 때문입니다.
항상 환자분께서 만족하실 수 있는 결과를 전해드리기 위해서
오늘도, 앞으로도 노력하겠습니다.
의료법 제23조 및 제56조 관련
본 포스팅의 모든 임상 사진은 환자 동의하에 게재하였습니다.
진료 내용: 지르코니아 브릿지, 근관치료 등
발생할 수 있는 부작용: 보철물 탈락, 치근단 병소 등
치료 시작: 2024. 1. 31
치료 종료: 2024. 3. 13