안녕하세요.
오늘도 환자분들에게 감동을 전해드리려 노력하는
쌍문동 치과의사 정의준입니다.
오늘은 교정치과에서 사랑니 발치로 의뢰된 환자분 이야기입니다.
다른 치과에서 진료를 받으시더라도 괜찮습니다.
환자분에게 만족과 감동을 전할수만 있다면 좋습니다.
배열이 고르지 못한 치아들을 가지런히 만들기 위해선,
교정 치료가 필요하다는 것은 모두 알고 계실 겁니다.
교정 치료에서 가장 중요한 것은
"부족한 공간을 어떻게 확보하고, 어떻게 치아를 이동 시킬 것인가." 입니다.

© yingpis, 출처 Unsplash
우리 입안에서 제일 안쪽에 위치한 사랑니는,
간혹 치아의 이동을 어렵게 만드는 요소가 되기도 합니다.
교정 치료를 위해서 이런 매복 사랑니의 경우 발치가 필요하게 됩니다.
(교정 목적이 아니더라도,
매복 사랑니는 종종 염증이나 충치 유발 등으로 인해 발치가 필요한 경우가 많습니다.)

오늘의 환자분은 근처 교정치과에서 사랑니 발치로 방문을 권유 받으시고
안전하고 빠르게 발치할 수 있는 치과를 검색하던 차에
저희 치과에 내원을 하시게 되었습니다.
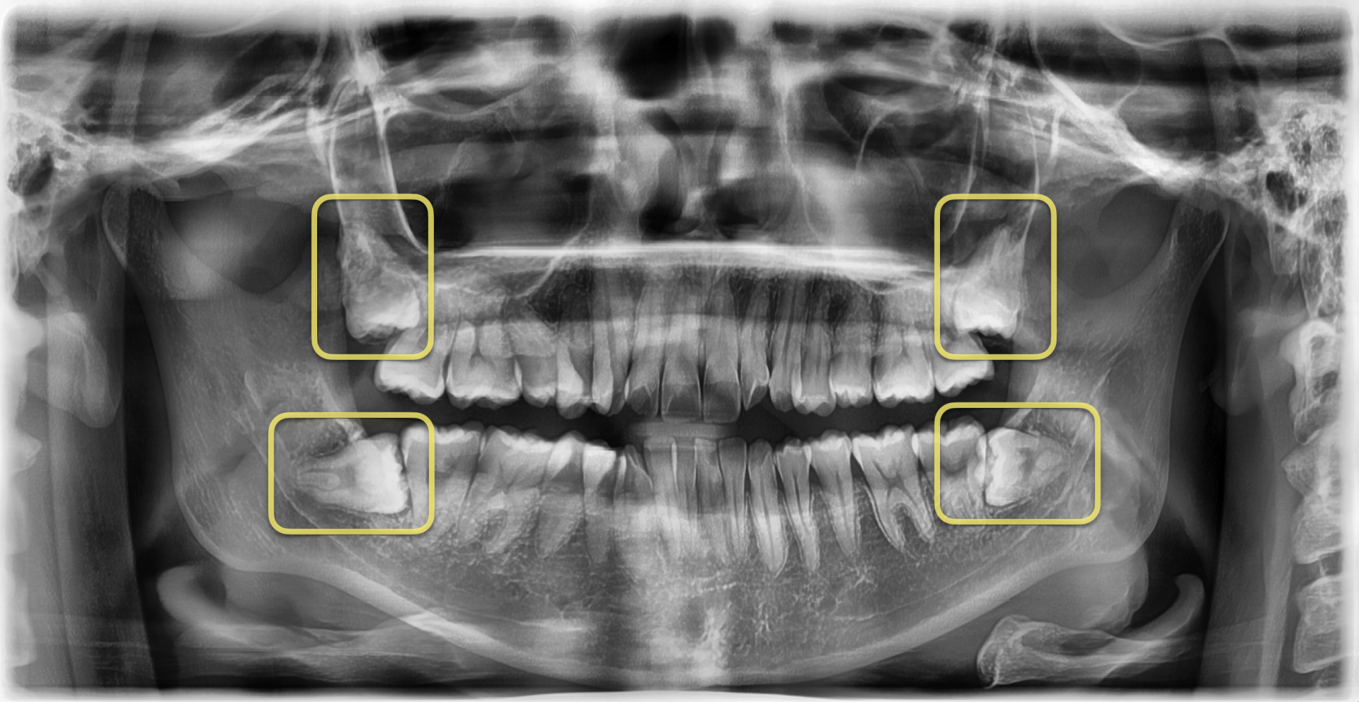
교정 치료를 위해
4개의 "매복" 사랑니를 전부 발치가 필요한 상황이셨고,
4개 모두 발치 난이도가 있는 케이스 였습니다....!


우측 위의 사랑니는 앞쪽 치아에 완전히 걸려있었고 (좌측 사진), 우측 아래의 사랑니는 신경관과 딱 닿아있었네요.. (우측 사진)
사랑니는 결국 저 안에 누워있는 치아를 잘 꺼내는 것이 전부이기 때문에,
잘 빠져나올 수 있는 구조를 만들면 되는 것인데,
이게 사실 절대 쉬운 과정은 아닙니다만,
할 수 있습니다.


오른쪽 사랑니 안전하게 발치 완료 (좌측) - 왼쪽도 안전하게 발치 완료 (우측)
모든 사랑니 발치를 안전하게 완료하였습니다.
물론 이 과정에 환자분도 너무 잘 도와주셨습니다. 👏
(사랑니는 졸업하셨으니, 지금은 교정 치료 잘 받고 있으시겠죠?)
이번달도 쌍문동의 많은 환자분들의 많은 사랑니를 발치하고 있네요.
저는 쌍문동 모든 환자분들이 사랑니 발치로 인한 부담을 덜어드리도록 항상 노력하겠습니다!
의료법 제23조 및 제56조 관련
본 포스팅의 모든 임상 사진은 환자 동의하에 게재하였습니다.
진료 내용: 매복 사랑니 발치
발생할 수 있는 부작용: 구강상악동누공, 하치조신경 감각이상 등
치료 시작: 2024. 1
치료 종료: 2024. 3
안녕하세요.
오늘도 환자분들에게 감동을 전해드리려 노력하는
쌍문동 치과의사 정의준입니다.
오늘은 교정치과에서 사랑니 발치로 의뢰된 환자분 이야기입니다.
다른 치과에서 진료를 받으시더라도 괜찮습니다.
환자분에게 만족과 감동을 전할수만 있다면 좋습니다.
배열이 고르지 못한 치아들을 가지런히 만들기 위해선,
교정 치료가 필요하다는 것은 모두 알고 계실 겁니다.
교정 치료에서 가장 중요한 것은
"부족한 공간을 어떻게 확보하고, 어떻게 치아를 이동 시킬 것인가." 입니다.
© yingpis, 출처 Unsplash
우리 입안에서 제일 안쪽에 위치한 사랑니는,
간혹 치아의 이동을 어렵게 만드는 요소가 되기도 합니다.
교정 치료를 위해서 이런 매복 사랑니의 경우 발치가 필요하게 됩니다.
(교정 목적이 아니더라도,
매복 사랑니는 종종 염증이나 충치 유발 등으로 인해 발치가 필요한 경우가 많습니다.)
오늘의 환자분은 근처 교정치과에서 사랑니 발치로 방문을 권유 받으시고
안전하고 빠르게 발치할 수 있는 치과를 검색하던 차에
저희 치과에 내원을 하시게 되었습니다.
교정 치료를 위해
4개의 "매복" 사랑니를 전부 발치가 필요한 상황이셨고,
4개 모두 발치 난이도가 있는 케이스 였습니다....!
우측 위의 사랑니는 앞쪽 치아에 완전히 걸려있었고 (좌측 사진), 우측 아래의 사랑니는 신경관과 딱 닿아있었네요.. (우측 사진)
사랑니는 결국 저 안에 누워있는 치아를 잘 꺼내는 것이 전부이기 때문에,
잘 빠져나올 수 있는 구조를 만들면 되는 것인데,
이게 사실 절대 쉬운 과정은 아닙니다만,
할 수 있습니다.
오른쪽 사랑니 안전하게 발치 완료 (좌측) - 왼쪽도 안전하게 발치 완료 (우측)
모든 사랑니 발치를 안전하게 완료하였습니다.
물론 이 과정에 환자분도 너무 잘 도와주셨습니다. 👏
(사랑니는 졸업하셨으니, 지금은 교정 치료 잘 받고 있으시겠죠?)
이번달도 쌍문동의 많은 환자분들의 많은 사랑니를 발치하고 있네요.
저는 쌍문동 모든 환자분들이 사랑니 발치로 인한 부담을 덜어드리도록 항상 노력하겠습니다!
의료법 제23조 및 제56조 관련
본 포스팅의 모든 임상 사진은 환자 동의하에 게재하였습니다.
진료 내용: 매복 사랑니 발치
발생할 수 있는 부작용: 구강상악동누공, 하치조신경 감각이상 등
치료 시작: 2024. 1
치료 종료: 2024. 3