안녕하세요.
쌍문역 매복 사랑니 발치하는 치과
강북감동치과 대표원장 정의준입니다.
오른쪽 아래 사랑니 발치를 원하셔서 내원하셨던 환자분이셨습니다.

2024. 9 첫 내원 당시 파노라마 사진
오른쪽 아래 사랑니가 옆으로 누워있는 형태인 매복 사랑니였는데요.
이런 위치의 경우 관리하기가 쉽지 않고,
통증, 잇몸 염증(붓기), 치아 우식이 발생하기 쉽기에
가급적이면 더 나빠지기 전에 발치하시는 것을 권유 드리는 편입니다.
환자분께서도 발치가 가능한지 상담을 받기 위해
강북감동치과에 내원하셨는데요.
CT 촬영 및 구강 내 DSLR 카메라로 촬영한 것을 바탕으로,
상세한 검진을 진행하였고,
오른쪽 아래 매복 사랑니 발치는 안전하게 가능하다고,
설명드렸습니다.
** 사랑니 발치에 관련해서는 아래의 포스팅을 참고 부탁드립니다. **
https://blog.naver.com/uijunden/223555825067

2024. 9 첫 내원 당시의 구강 내 DSLR 촬영 사진
누워있는 사랑니 주위로 약간의 잇몸 염증이 관찰되며,
치아에 초기 충치가 생긴 모습도 관찰됩니다.

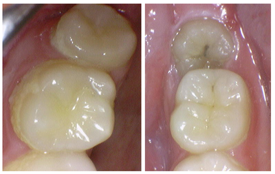
우측 위 사랑니 부위 (좌측 사진) - 우측 아래 사랑니 부위(우측 사진)
2024. 9
검진 결과 위쪽 사랑니 부근도 잇몸 상태가 좋지 않아,
당일에 동시에 같이 발치를 권유 드렸습니다.

2024. 9 발치 전 CT 분석
발치 전에 CT를 확인하여 보니
아래 신경관(위 사진의 빨간색 부분)과 치아 뿌리가 다소 가까웠지만,
발치 진행에 문제 되거나 하지는 않는 정도였습니다.
아래 매복 사랑니의 경우,
파노라마 사진에서 아래 신경관과 가깝다고 판단되는 경우는
반드시 CT 분석을 하는 편인데요.
신경관이 치아의 뿌리와 맞닿아 있는 경우에
정말 드문 가능성이지만 발치 후 감각 이상이 오는 경우가 보고됩니다.
따라서, CT 촬영본을 확인 후 어떤 방법이 제일 안전한 발치 방법인지
결정한 후에 발치를 진행하게 됩니다.
*** 아무리 낮은 가능성이라도,
환자분의 안전을 위해서 반드시 확인해야 되는 과정이라고 생각합니다.
안전이 최우선입니다. ***

발치 전과 발치 후 (2024. 9)
충분한 마취 과정 후에
발치와 관련된 주의사항을 설명드리고,
발치를 무사히 진행하였습니다.
발치 과정을 무사히 도와주신 환자분께 감사드립니다.
- 치과의사 정의준 -

의료법 제23조 및 제56조 관련
본 포스팅의 모든 임상 사진은 환자 동의하에 게재하였습니다.
진료 내용: 매복 사랑니 발치
발생할 수 있는 부작용: 감각 이상 등
치료 시작: 202409
치료 종료: 202409
안녕하세요.
쌍문역 매복 사랑니 발치하는 치과
강북감동치과 대표원장 정의준입니다.
오른쪽 아래 사랑니 발치를 원하셔서 내원하셨던 환자분이셨습니다.
2024. 9 첫 내원 당시 파노라마 사진
오른쪽 아래 사랑니가 옆으로 누워있는 형태인 매복 사랑니였는데요.
이런 위치의 경우 관리하기가 쉽지 않고,
통증, 잇몸 염증(붓기), 치아 우식이 발생하기 쉽기에
가급적이면 더 나빠지기 전에 발치하시는 것을 권유 드리는 편입니다.
환자분께서도 발치가 가능한지 상담을 받기 위해
강북감동치과에 내원하셨는데요.
CT 촬영 및 구강 내 DSLR 카메라로 촬영한 것을 바탕으로,
상세한 검진을 진행하였고,
오른쪽 아래 매복 사랑니 발치는 안전하게 가능하다고,
설명드렸습니다.
** 사랑니 발치에 관련해서는 아래의 포스팅을 참고 부탁드립니다. **
https://blog.naver.com/uijunden/223555825067
2024. 9 첫 내원 당시의 구강 내 DSLR 촬영 사진
누워있는 사랑니 주위로 약간의 잇몸 염증이 관찰되며,
치아에 초기 충치가 생긴 모습도 관찰됩니다.
우측 위 사랑니 부위 (좌측 사진) - 우측 아래 사랑니 부위(우측 사진)
2024. 9
검진 결과 위쪽 사랑니 부근도 잇몸 상태가 좋지 않아,
당일에 동시에 같이 발치를 권유 드렸습니다.
2024. 9 발치 전 CT 분석
발치 전에 CT를 확인하여 보니
아래 신경관(위 사진의 빨간색 부분)과 치아 뿌리가 다소 가까웠지만,
발치 진행에 문제 되거나 하지는 않는 정도였습니다.
아래 매복 사랑니의 경우,
파노라마 사진에서 아래 신경관과 가깝다고 판단되는 경우는
반드시 CT 분석을 하는 편인데요.
신경관이 치아의 뿌리와 맞닿아 있는 경우에
정말 드문 가능성이지만 발치 후 감각 이상이 오는 경우가 보고됩니다.
따라서, CT 촬영본을 확인 후 어떤 방법이 제일 안전한 발치 방법인지
결정한 후에 발치를 진행하게 됩니다.
*** 아무리 낮은 가능성이라도,
환자분의 안전을 위해서 반드시 확인해야 되는 과정이라고 생각합니다.
안전이 최우선입니다. ***
발치 전과 발치 후 (2024. 9)
충분한 마취 과정 후에
발치와 관련된 주의사항을 설명드리고,
발치를 무사히 진행하였습니다.
발치 과정을 무사히 도와주신 환자분께 감사드립니다.
- 치과의사 정의준 -
의료법 제23조 및 제56조 관련
본 포스팅의 모든 임상 사진은 환자 동의하에 게재하였습니다.
진료 내용: 매복 사랑니 발치
발생할 수 있는 부작용: 감각 이상 등
치료 시작: 202409
치료 종료: 202409