안녕하세요.
환자분들의 편한 식사를 위해서 오늘도 노력하고 있는
쌍문동 치과의사 정의준 입니다.
"일주일 전에 다른 치과에서 발치 했는데, 여기서 임플란트 할 수 있을까요?"
근처 다른 치과에서 발치를 하시고, 임플란트 치료를 위해 내원하신 환자분이십니다.
왼쪽 아래 큰 어금니 2개를 발치하셨는데요.
잇몸뼈가 많이 부족하고, 아래턱 신경에 가까운 케이스라
실력이 있는 곳에서 진행을 희망하셔서,
여러 치과를 검색 후에 저희 병원에 내원하시게 되었습니다.


타치과에서 발치하시고 1주일 뒤에 내원하셨을 때의 파노라마 (좌측 사진)
첫 내원 당시의 왼쪽 아래 어금니 부위의 상태 (우측 사진)
2023. 7
내원 당시 왼쪽 아래 큰 어금니들을 발치하신 상태셨고,
1주일 정도 밖에 되지 않아 아무래도 잇몸은 회복 과정에 있는 상태였습니다.
정확한 진단과 치료 계획 수립을 위하여 CT 촬영을 진행하였습니다.


2023. 7
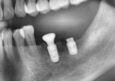
왼쪽 아래 첫번째 큰 어금니의 경우 큰 무리없이 임플란트 수술이 가능하여 1주일 정도 더 기다린 후에
임플란트 수술을 진행하였습니다. (우측 파노라마 사진)
다만, 빠진 2개의 치아 중 제일 뒤쪽 (왼쪽 아래 두번째 큰 어금니)의 잇몸뼈가 많이 부족한 상태셨고,
아래턱 신경과 매우 근접하였기 때문에 안전한 임플란트 식립을 위하여 3개월 정도 회복을 기다린 후에
수술 전에 "서지컬 가이드"라는 장치를 만들고 수술하는 것으로 계획하였습니다.
아래턱 어금니 부위에 임플란트를 식립할 때는, 아래턱을 전반적으로 담당하는 신경인
하치조신경 (Inferior Alveolar nerve)에 손상이 가지 않도록 하는 것이 매우 중요합니다.

빨간색으로 길게 보이는 것이 하치조 신경의 일부 입니다.
서지컬 가이드 없이도 수술이 진행은 가능하지만,
1%의 손상 가능성이라도 있다면,
환자분의 안전을 위해서 모든 불안요소를 줄여야 한다고 생각하기에
이런 경우에는 서지컬 가이드를 활용하여 수술을 진행하고 있습니다.

저는 서지컬 가이드 디자인을 직접 진행하고 있습니다.
대표원장인 제가 직접 디자인하고 설계한 "서지컬 가이드"를 토대로,
수술은 매우 안전하게 진행되었고, 부족한 부위에는 추가로 골이식을 진행하였습니다.
기다리시는 동안 왼쪽도 식사가 가능하도록,
먼저 식립한 임플란트에는 임시보철물을 만들어 드렸습니다.


수술이 잘 마무리 되었고, 먼저 수술한 임플란트는 임시보철물로 식사가 가능하도록 하였습니다.
2023. 10
약 2개월의 회복 기간을 갖고, 2차 수술 및 보철과정을 진행하였습니다.
과정은 구강스캐너인 "3Shape Trios 4"를 이용하여 진행되었고,
아래와 같이 치료는 잘 마무리 되었습니다.



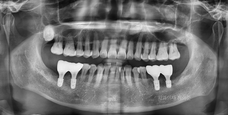
왼쪽 아래 치료가 마무리 된 후에 환자분께서는
통증도 심하고 많이 흔들렸던 오른쪽 아래 어금니 부위와 사랑니도 발치 및 임플란트 치료를 희망하셔서,
해당 부위도 치료를 잘 진행해 드렸습니다.
이 부위는 다행히도 잇몸뼈의 상태가 많이 나쁘지는 않아 발치 즉시 임플란트로 치료를 진행하였습니다.

2023. 7 치료 전

2024. 6 정기검진 시
치과 치료 모든 과정은 안전해야 합니다.
임플란트 치료 또한 안전이 첫번째 입니다.
소중한 치아를 잃은 상실감을
안전하고 오래가는 임플란트로 대체해드리기 위해서
항상 노력하고 고민하는 치과의사 정의준입니다.
의료법 제23조 및 제56조 관련
본 포스팅의 모든 임상 사진은 환자 동의하에 게재하였습니다.
진료 내용: 임플란트 등
발생할 수 있는 부작용: 골유착실패 등
치료 시작: 2023. 7
치료 종료: 2024. 1
안녕하세요.
환자분들의 편한 식사를 위해서 오늘도 노력하고 있는
쌍문동 치과의사 정의준 입니다.
"일주일 전에 다른 치과에서 발치 했는데, 여기서 임플란트 할 수 있을까요?"
근처 다른 치과에서 발치를 하시고, 임플란트 치료를 위해 내원하신 환자분이십니다.
왼쪽 아래 큰 어금니 2개를 발치하셨는데요.
잇몸뼈가 많이 부족하고, 아래턱 신경에 가까운 케이스라
실력이 있는 곳에서 진행을 희망하셔서,
여러 치과를 검색 후에 저희 병원에 내원하시게 되었습니다.
타치과에서 발치하시고 1주일 뒤에 내원하셨을 때의 파노라마 (좌측 사진)
첫 내원 당시의 왼쪽 아래 어금니 부위의 상태 (우측 사진)
2023. 7
내원 당시 왼쪽 아래 큰 어금니들을 발치하신 상태셨고,
1주일 정도 밖에 되지 않아 아무래도 잇몸은 회복 과정에 있는 상태였습니다.
정확한 진단과 치료 계획 수립을 위하여 CT 촬영을 진행하였습니다.
2023. 7
왼쪽 아래 첫번째 큰 어금니의 경우 큰 무리없이 임플란트 수술이 가능하여 1주일 정도 더 기다린 후에
임플란트 수술을 진행하였습니다. (우측 파노라마 사진)
다만, 빠진 2개의 치아 중 제일 뒤쪽 (왼쪽 아래 두번째 큰 어금니)의 잇몸뼈가 많이 부족한 상태셨고,
아래턱 신경과 매우 근접하였기 때문에 안전한 임플란트 식립을 위하여 3개월 정도 회복을 기다린 후에
수술 전에 "서지컬 가이드"라는 장치를 만들고 수술하는 것으로 계획하였습니다.
아래턱 어금니 부위에 임플란트를 식립할 때는, 아래턱을 전반적으로 담당하는 신경인
하치조신경 (Inferior Alveolar nerve)에 손상이 가지 않도록 하는 것이 매우 중요합니다.
빨간색으로 길게 보이는 것이 하치조 신경의 일부 입니다.
서지컬 가이드 없이도 수술이 진행은 가능하지만,
1%의 손상 가능성이라도 있다면,
환자분의 안전을 위해서 모든 불안요소를 줄여야 한다고 생각하기에
이런 경우에는 서지컬 가이드를 활용하여 수술을 진행하고 있습니다.
저는 서지컬 가이드 디자인을 직접 진행하고 있습니다.
대표원장인 제가 직접 디자인하고 설계한 "서지컬 가이드"를 토대로,
수술은 매우 안전하게 진행되었고, 부족한 부위에는 추가로 골이식을 진행하였습니다.
기다리시는 동안 왼쪽도 식사가 가능하도록,
먼저 식립한 임플란트에는 임시보철물을 만들어 드렸습니다.
수술이 잘 마무리 되었고, 먼저 수술한 임플란트는 임시보철물로 식사가 가능하도록 하였습니다.
2023. 10
약 2개월의 회복 기간을 갖고, 2차 수술 및 보철과정을 진행하였습니다.
과정은 구강스캐너인 "3Shape Trios 4"를 이용하여 진행되었고,
아래와 같이 치료는 잘 마무리 되었습니다.
왼쪽 아래 치료가 마무리 된 후에 환자분께서는
통증도 심하고 많이 흔들렸던 오른쪽 아래 어금니 부위와 사랑니도 발치 및 임플란트 치료를 희망하셔서,
해당 부위도 치료를 잘 진행해 드렸습니다.
이 부위는 다행히도 잇몸뼈의 상태가 많이 나쁘지는 않아 발치 즉시 임플란트로 치료를 진행하였습니다.
2023. 7 치료 전
2024. 6 정기검진 시
치과 치료 모든 과정은 안전해야 합니다.
임플란트 치료 또한 안전이 첫번째 입니다.
소중한 치아를 잃은 상실감을
안전하고 오래가는 임플란트로 대체해드리기 위해서
항상 노력하고 고민하는 치과의사 정의준입니다.
의료법 제23조 및 제56조 관련
본 포스팅의 모든 임상 사진은 환자 동의하에 게재하였습니다.
진료 내용: 임플란트 등
발생할 수 있는 부작용: 골유착실패 등
치료 시작: 2023. 7
치료 종료: 2024. 1